If you have lost multiple teeth, our prosthodontist may recommend All-on-X® implants to replace your teeth and restore your smile. Our skilled prosthodontist will coordinate with our oral surgeons to ensure precise implant placement, ensuring that your final result is tailored to your exact needs and will maximize the benefits of your treatment plan.
What Are All-on-X Implants?
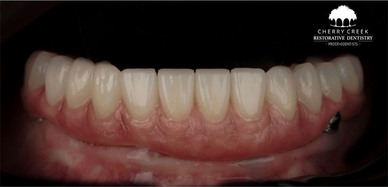
All-on-X dental implants are a revolutionary solution for patients suffering from significant tooth loss or decay, offering a full-arch restoration on just four, six, or more dental implants per arch. Unlike traditional dental procedures that replace each tooth individually, the All-on-X technique uses the minimum number of implants necessary to support a full set of artificial teeth, providing a permanent, stable, and aesthetically pleasing solution for your smile. This innovative approach leverages strategic placement of implants in areas with the highest bone density, enhancing support and durability.
Benefits of All-on-X
Benefits of All-on-X implants include:
- A more secure and comfortable fit, resembling the feel of natural teeth more closely than conventional dentures.
- A long-term result which works to preserve your jawbone by mimicking the natural function of teeth.
- An easier maintenance and cleaning routine than traditional dentures or other tooth replacement options.
- Improved quality of life – patients who receive All-on-X can enjoy a broader range of food, improving nutritional intake.
- An aesthetic and naturally beautiful smile that boosts self-confidence.
The All-on-X Procedure
The All-on-X procedure is meticulously planned and executed in stages, beginning with a comprehensive evaluation of the patient’s oral health, including X-rays and 3D imaging. This assessment helps in customizing the treatment plan to the patient’s specific needs. During the surgical phase, the implants are precisely placed into the jawbone. After a period of healing, allowing for osseointegration where the bone fuses with the implants, a temporary set of teeth may be attached, offering functionality and aesthetics immediately. The final step involves the fabrication and fitting of the permanent prosthetic teeth, meticulously crafted to match the natural appearance and bite of the patient. This procedure not only restores the ability to eat and speak comfortably but also revitalizes the patient’s overall facial structure and smile aesthetics.
All-on-X Implants FAQ
How long does the All-on-X implant procedure take?
The duration of the All-on-X implant procedure can vary depending on individual circumstances. Generally, the surgery can take several hours, and we will provide a detailed timeline based on your specific needs during your consultation.
What type of recovery can I expect after getting All-on-X implants?
Recovery after the All-on-X implant procedure usually includes some swelling and discomfort, though it can be managed through medication. Most patients can return to their normal activities within a few days, but complete healing may take several months.
Are All-on-X implants suitable for everyone?
While All-on-X implants can benefit many patients, individual suitability depends on factors such as bone density, oral health and overall medical condition. A thorough evaluation will help determine if this solution is right for you.
How do I maintain my All-on-X implants?
We will provide instructions to help ensure the longevity of your implants, though caring for them is the same as caring for your natural teeth: through good oral hygiene and regular checkups.
Schedule Your Consultation
To schedule a consultation with Dr. Nate Chertok and learn more about All-on-X implants in Denver, Colorado, call Cherry Creek Restorative Dentistry today at 720-792-8227!










